На какие только жертвы не идут женщины, чтобы оставаться вечно
молодыми и красивыми.
Ради этого они готовы чуть ли не ежедневно наносить себе на лицо сметану, дрожжи, фруктовые кислоты. Естественно, что мало кто при этом испытывает море удовольствия.
Возникает вопрос — а можно ли как-то заменить все эти
неприятные процедуры на более современные? Мы все-таки живем в XXI-м, а не
в XIX веке.
И тут нам на помощь приходит “электронная косметика” – светодиодная LED маска с функцией омоложения. Есть как симпатичные футуристичные экземпляры, так и не очень.
Используют их даже знаменитости.
Вот, например, Джессика Альба в процессе приема процедур перед съемками 😊
View this post on InstagramA post shared by Jessica Alba (@jessicaalba)
Как уверяют производители, достаточно надевать маску на
лицо по несколько минут в день и через некоторое время вы получите эффект, в
несколько раз превосходящий результаты размазывания по коже всевозможных
слизких продуктов.
Вот только реально ли работает такое омоложение, не обман ли это? Насколько оно безопасно? (Спойлер! — для некоторых не очень.)
Регулярные опросы показывают, что большинство попросту не доверяет данной продукции.
Рядовой обыватель рассуждает примерно следующим образом — неужели, если поднести к лицу разноцветные лампочки, то это как-то поможет решить проблемы с кожей?
После всех процедур “облучения”, брались образцы кожи и внимательно изучались все изменения с клетками под электронным микроскопом. Полученные результаты публиковались в известных медицинских журналах (выдержки со всеми ссылками будут приведены).
Как работает свет?
Идея использовать свет для воздействия на кожу не
является чем-то инновационным. Подобным образом лечат псориаз, рак кожи, витилиго
и другие заболевания.
А как Led маска со своими светодиодами может бороться со старением, прыщами, угрями? Во-первых, вспомним что такое свет?
Свет – это электромагнитная волна. И в зависимости от
своей длины (цвета), она может проникать под кожу человека на ту или иную
глубину.
При этом не забывайте, что свет бывает как полезным, так и вредным. Особенно это касается невидимого ультрафиолета.
Его переизбыток в определенном спектре напрямую приводит к раку кожи, а вовсе не к лечению и восстановлению.
После ультрафиолета начинается видимый свет (от
фиолетового до красного). Как раз в этом диапазоне и работают большинство светодиодных
масок.
Каждый цвет имеет свою длину волны. Чем она больше – тем глубже свет проникает под кожу.
Одновременно избавит вас от угрей и сделает кожу моложе.
Это не так.
Широко распространены маски сразу с 7 цветами.
Однако, честно говоря, основными считаются всего лишь два
— синий и красный. Это основа.
Именно с ними и работают все косметологи.
Как действует на кожу синий свет?
Начнем с синего света (460-470нм). Синий наиболее полезен для воздействия на то, что находится на поверхности, в слоях эпидермиса.
Этот свет в первую очередь предназначен для людей с проблемами высыпаний на коже – прыщи, угри (лечение акне).
Каким образом и за счет чего происходит данное
воздействие? Вот что говорит об этом наука.
В нашем организме содержатся, так называемые порфирины — пигменты, производные порфина.
Их активация как раз и происходит под воздействием фотонов синего света. Что приводит по итогу к химической реакции, которая:
- уничтожает бактерии прыщей
- останавливает разрастание сальных желез
- уменьшает воспалительные процессы в верхних слоях кожи
Синий свет обладает очень хорошим антибактериальным действием.
Все бактерии вот в этом разросшемся «мешочке» под воздействием синего света погибают и он начинает сдуваться.
Действие на кожу красного света
Переходим к красному свету (620-630нм). У него бОльшая
длина волны, а значит и под кожу он проникает глубже (до 2,5мм). В этих слоях
он уже способен напрямую воздействовать на фибробласты и воспроизводить
коллагены.
Коллаген – это белок, который является основой нашей
кожи. С возрастом он естественным образом распадается и его количество
уменьшается.
В чем отличие красного от синего по отношению к прыщам? Красный способен только нейтрализовать рост сальных желез, воздействуя на их источники выработки глубоко в коже.
Поэтому никакого тройного мультиэффекта на прыщи и угри он
не оказывает.
Зато как показали исследования, одновременная комбинация
двух цветов приносит гораздо лучшие результаты, чем применение только одного
синего.
Вот ссылка на эти исследования – ТЫЦ.
Через 4 недели после комбинации цветов (синий+красный)
количество угрей у подопытных пациентов уменьшилось на 46%. А через 12 недель
уже на 81%.
Причем тяжелая форма акне поддавалась лечению даже лучше,
чем легкая!
Есть маски, в которых можно включать одновременно как синие светодиоды, так и красные.
По возможности выбирайте именно их.
Омоложение светом
В общем по поводу прыщей выяснили, а что же насчет омоложения и борьбы со старением? Ведь Led маска в большинстве случаев приобретается именно для этого.
И тут в дело вступает красный (630-640нм) и ближний инфракрасный
свет (830-840нм).
Когда мы говорим о старении, в первую очередь мы
подразумеваем морщины и пигментацию кожи.
Красный свет от Led маски безболезненно проникает под верхние слои и начинает стимулировать активную выработку коллагена. Пространство под морщинкой заполняется и уплотняется.
Провалившуюся кожу как бы начинает выдавливать наверх. В итоге морщина разглаживается.
Данный процесс в науке называется фотобиомодуляцией. По
сути, это самый безболезненный и комфортный способ омолаживания.
Вы никоим образом не трогаете верхние слои кожи, а активируете более глубокие, чтобы создать объем.
Научные исследования
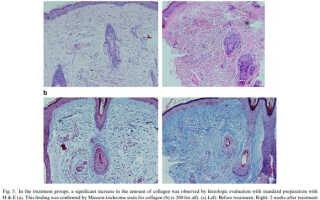
Чтобы лучше понять и изучить данный эффект были проведены исследования на различных выборках людей. Вот ссылка на эти научные изыскания – ТЫЦ (PDF версия документа — скачать).
Половина лица у испытуемых в течение длительного времени
(12 недель) облучалась красным светом, а другая половина нет. После чего
независимыми экспертами сравнивался результат.
У некоторых исследуемых делалась биопсия.
Что она показала? Пучки коллагена под воздействием такого
облучения увеличились. Они стали толще и компактнее.
Также увеличилось количество эластичных волокон. То есть, у них было как визуальное (что называется – на лицо), так и химическое подтверждение эффекта омолаживания.




Исследования проводились с длиной волн 633нм (красный) и
830нм (ближний инфракрасный).
Осветление кожи
Что касается осветления кожи от воздействия маски, то здесь уже не все так однозначно.
Дело в том, что синий свет может стимулировать меланоциты
– клетки, вырабатывающие меланин. То есть, ни о каком отбеливании или
омолаживании здесь речи уже не идет, скорее наоборот.
Вот сравнительная табличка нескольких разновидностей Led масок, широко распространенных на зарубежном рынке. Как видите, только два девайса имеют в своем составе синие светодиоды (415нм и 445нм).
Перед покупкой и использованием в домашних условиях Led маски с
синими светодиодами обязательно проконсультируйтесь со своим дерматологом!
Подготовка лица
Можно ли как-то улучшить и усилить эффект от Led маски? Да, можно. Для этого:
Ваша кожа должна быть максимально очищена от всего
лишнего.
Также не забывайте регулярно обрабатывать маску спиртовой салфеткой (70%).
Во-вторых, для усиления эффекта рекомендуется провести
химический пилинг или косметическое отшелушивание ороговевших слоев.
В этом случае волны света проникнут глубже и при
одинаковом времени использования результат вы увидите гораздо раньше.
А хотите увеличить скорость омолаживания в 10 раз? Нет
ничего проще — используйте зеленый чай.
Это не шутка. Вот медицинское подтверждение.
Как выяснилось в ходе эксперимента, если за 20 минут до
облучения наносить на кожу лица зеленый чай (прикладывать смоченные ватные
подушечки), то заметный эффект омоложения, который ранее у испытуемых
достигался через 10 месяцев, появлялся всего через 1 месяц!
Дело в том, что зеленый чай способен поглощать активные
формы кислорода, что в свою очередь существенно расширяет спектр действия
фототерапии.
Если вам не нравится идея каждый раз заваривать чай,
можете воспользоваться эссенцией.
Какую LED маску выбрать?
Итак, мы выяснили, что Led маска
для лица реально работает. На что же обращать внимание при покупке?
Во-первых, если у вас есть проблемы с кожей, то выбирайте ту, которая одновременно может светить как красным, так и синим светом.
Еще лучше, если у нее будет наличие ближнего инфракрасного 830нм. Это уже более профессиональные модели — BOOST LED FACE MASK, ECO FACE.
- красный + синий – для борьбы с прыщами и угрями
- красный + ближний инфракрасный – для омолаживания и разглаживания морщин
Второе – внешний вид. Есть маски закрытые (как у сварщика) и открытые (как у хоккейного вратаря).
Последние имеют прорези для глаз, носа, губ. Их можно спокойно надеть на лицо, включить светодиоды и как ни в чем не бывало заниматься домашними делами.
В “глухом” закрытом шлеме вы будете вынуждены лежать на кровати или неподвижно сидеть в кресле.
В открытых девайсах часть света от светодиодов все равно будет попадать в глаза. А синий свет, если вы не знали, очень вреден для зрения.
Отдельные производители подобных масок даже отзывали свою продукцию (статья в Нью-Йорк Таймс) из некоторых магазинов именно по причине предосторожности.
В определенных случаях у людей, которые принимают
лекарства, повышающие светочувствительность глаз, теоретически мог возникнуть
риск повреждения сетчатки!
Вот предупреждение от департамента здоровья Австралии.


В закрытых моделях есть специальные защитные очки.
А еще у них нет “слепых” зон в области носа и губ. Кроме того, маски с прорезями, во время процедуры сильно давят на переносицу, оставляя там заметные следы.
То есть, сразу перед выходом из дома такой маской
пользоваться невозможно. След очень долго не проходит.
Побочные эффекты
Вовсе нет. Как и у любой физиопроцедуры у нее есть
противопоказания.
Led маски запрещены для:
- эпилептиков
- беременных и кормящих (т.к. на них тестовые испытания не проводились)
- больных онкологией
- имеющих открытые раны на лице (царапины, порезы, ожоги)
- дерматологические инфекции и заболевания кожи
- проблемы с щитовидной железой (узлы)
- грипп, повышенную температуру тела
Например, такие как Ретин-А, третиноин, ретинол, ретинальдегидные
продукты. Перед их нанесением нужно выждать минимум 10-15 минут.
Иначе такое “лечение” спровоцирует у вас на лице
появление маленьких красных точек.
Как долго нужно носить?
Что касается того, сколько времени нужно носить такую
маску во время процедуры, то здесь все зависит от конкретной модели и
производителя.
У разных моделей могут существенно отличаться мощность, а
также количество светодиодов – от нескольких десятков штук до тысячи и более.
Есть девайсы, для которых достаточно всего 3-5 минут.
Другие нужно носить по полчаса.
Поэтому перед эксплуатацией всегда подробно изучайте
инструкцию! Ведь даже там производитель зачастую задает весьма широкий
диапазон.
Что касается периодичности, то для мощных экземпляров ламп, которые применяют в салонах красоты, рекомендуемая частота – 2-3 раза в неделю.
Домашние светодиодные маски можно надевать каждый день.
Однако и здесь нужно быть осторожным.
Питание светодиодов.
Безусловно, более удобны Led маски со встроенными аккумуляторами, чем те, которым требуется наличие розетки и куча проводов поблизости.
Хоть аккумуляторные и держат заряд не так долго (около
20-30 минут), но этого вполне достаточно, чтобы провести процедуру в любой позе
и любом месте.
Единственный недостаток таких моделей – цена. Одна из
самых дорогих масок на нашем рынке – LG Pra L.
Хотя и это не предел.
Готовы выложить за масочку не самого симпатичного дизайна
почти 2000$ 😉
Итоги и где купить?
Какие выводы можно сделать из всего вышеизложенного? Все
исследования, которые проводились специалистами, продолжались не менее 12
недель (3 месяца!).
Поэтому, чтобы получить от светодиодной маски хоть какой-то заметный результат и пользу, вы должны ее использовать регулярно.
В погоне за продажами и борьбе с конкурентами слишком
много в них встречается хвалебных и неправдоподобных обещаний.
Отсюда, кстати, и идет изначальное недоверие к такой продукции у большинства потребителей. Прочитали, что уже через неделю будут красавицами, а видимого результата нет.
Вот и бросают это дело, так и не поняв, в чем была ошибка. Быстрой и суперомолаживающей способностью Led маски не обладают. Вот парочка реальных отзывов:
Кроме того, они вовсе не отменяют обычного ухода за
лицом, а только дополняют его. Используя комбинацию световых процедур и
рутинного ухода за кожей, вы получите лечение с низким риском и более высокой
эффективностью.
Единственный недостаток – это высокая стоимость по-настоящему
качественных и удобных девайсов.
Одним из лидеров на этом рынке считается продукция корейских производителей. Вот ссылка на их магазин у китайцев (ForeverLily Korean Store) – ТЫЦ.
Во всех наших “фирменных” косметологических магазинах продают то же самое, только с двойной наценкой.
Подробнее